70 %

Program Progress:

You are incorrect - the best interpretation of the chest X rays in this patient is pericardial calcification

Your choice: Pericardial effusion

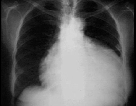
This chest X ray shows a pericardial effusion.

This PA view shows a markedly enlarged cardiac silhouette producing a water bottle appearance. Note the neck region of the water bottle formed by the normal aortic shadow.

Note also the normal pulmonary vascularity of the lung fields, an important hint that this enlargement of the cardiac shadow does not reflect underlying chamber enlargement.